国际肿瘤学杂志 ›› 2023, Vol. 50 ›› Issue (4): 208-213.doi: 10.3760/cma.j.cn371439-20230120-00041

• 论著 • 上一篇    下一篇

CT放射组学特征对肺转移瘤的鉴别诊断价值

熊敏, 陈翼, 王建波()   

  1. 重庆市红十字会医院(江北区人民医院)放射科,重庆 400020
  • 收稿日期:2023-01-20 修回日期:2023-03-07 出版日期:2023-04-08 发布日期:2023-06-12
  • 通讯作者: 王建波,Email: 272584122@qq.com

Value of CT radiomic features in differential diagnosis of lung metastases

Xiong Min, Chen Yi, Wang Jianbo()   

  1. Department of Radiology, Chongqing Red Cross Hospital (Jiangbei District People's Hospital), Chongqing 400020, China
  • Received:2023-01-20 Revised:2023-03-07 Online:2023-04-08 Published:2023-06-12
  • Contact: Wang Jianbo, Email: 272584122@qq.com

摘要:

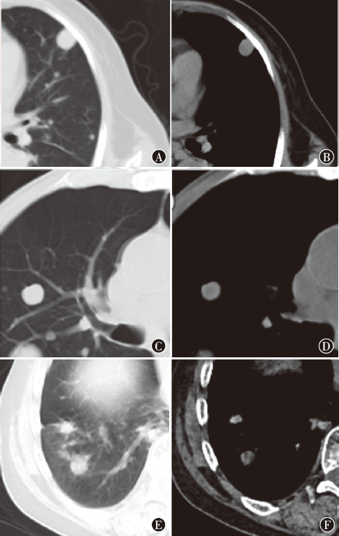
目的 根据CT放射组学特征构建分类模型以区分不同来源的肺转移瘤。方法 选取2015年1月至2020年7月在重庆市红十字会医院就诊的胃癌、乳腺癌和肾癌发生肺转移的患者226例,共有402个转移瘤,通过留出法随机分为训练队列(训练集,n=136,280个转移瘤)和验证队列(验证集,n=90,122个转移瘤)。另外匹配2020年8月至2022年4月重庆市红十字会医院就诊的肺转移瘤患者68例(共138个肺转移瘤)作为外部测试队列(测试集)。感兴趣区域的分割由两名经验丰富的放射科医生在不了解临床信息的情况下独立手工完成,利用LASSO筛选最佳放射组学特征构建模型。选择支持向量机(SVM)和随机森林(RF)分别建立二分类和三分类模型,并采用受试者工作特征曲线评价两种模型分类效能。结果 验证集和测试集中患者的年龄(t=-0.06,P=0.534)、性别(χ2<0.01,P=0.961)和肺转移瘤数量(χ2=0.71,P=0.703)差异均无统计学意义。共提取到792个放射组学特征,其中703个特征具有良好的一致性(组内相关系数≥0.75),而89个特征一致性较差(组内相关系数<0.75)被排除。二分类模型分别筛选出28个(胃癌肺转移瘤与乳腺癌肺转移瘤)、25个(胃癌肺转移瘤与肾癌肺转移瘤)和34个(肾癌肺转移瘤与乳腺癌肺转移瘤)特征;三分类模型筛选出20个特征(三种类型肺转移瘤),其中肾癌肺转移瘤的短行程强调和逆方差特征值显著高于其他两种类型,胃癌肺转移瘤的相关性特征值高于其他两种类型,3种肺转移瘤的球度之间没有显著差异。对于二分类模型,在验证集中,选取的28个特征区分胃癌肺转移瘤和乳腺癌肺转移瘤的曲线下面积(AUC)为0.81,25个特征区分胃癌肺转移瘤与肾癌肺转移瘤的AUC为0.86,34个特征区分肾癌肺转移瘤与乳腺癌肺转移瘤的AUC为0.92;测试集中AUC分别为0.80、0.79和0.86。对于三分类模型,在验证集中预测胃癌肺转移瘤、乳腺癌肺转移瘤和肾癌肺转移瘤的AUC分别为0.85、0.82和0.91,三分类模型宏观AUC为0.85,微观AUC为0.85;在测试集中,预测胃癌肺转移瘤、乳腺癌肺转移瘤和肾癌肺转移瘤的AUC分别为0.77、0.86和0.84,宏观和微观AUC均为0.81。结论 基于CT放射组学特征的SVM及RF模型有助于区分胃癌、乳腺癌、肾癌来源的肺转移瘤。

关键词: 诊断, 鉴别, 肺转移瘤, 放射组学特征

Abstract:

Objective To distinguish lung metastases of different origin by constructing a classification model according to CT radiomics features. Methods A total of 226 patients with lung metastases of gastric cancer, breast cancer and kidney cancer attending Chongqing Red Cross Hospital from January 2015 to July 2020, with a total of 402 metastases, were randomly divided into a training cohort (training set, 136 patients, 280 metastases) and a validation cohort (validation set, 90 patients, 122 metastases) by the hold-out method. In addition, 68 patients with lung metastases (138 lung metastases in total) attending Chongqing Red Cross Hospital from August 2020 to April 2022 were matched as an external test cohort (test set). Region of interest segmentation was performed by two experienced radiologists independently and manually without clinical information to construct the model by using LASSO screening for the best radiomic features. Support vector machine (SVM) and random forest (RF) were selected to build dichotomous and trichotomous models respectively. The receiver operating characteristic curve was used to evaluate the classification efficiency of both models. Results There were no statistically significant differences in age (t=-0.06, P=0.534), gender (χ2<0.01, P=0.961) and number of lung metastases (χ2=0.71, P=0.703) between the validation and test sets. A total of 792 radiomic features were extracted, 703 of which had good agreement (intraclass correlation coefficient≥0.75), while 89 features being excluded for having poor agreement (intraclass correlation coefficient<0.75). The dichotomous model (SVM) screened 28 (lung metastases from gastric cancer vs. lung metastases from breast cancer), 25 (lung metastases from gastric cancer vs. lung metastases from kidney cancer) and 34 (lung metastases from kidney cancer vs. lung metastases from breast cancer) features, respectively; the trichotomous model (RF) screened 20 features (three types of lung metastases), in which Short Run Emphasis and Inverse Variance were significantly higher in lung metastases from kidney cancer than in the other two types, correlation was higher in lung metastases from gastric cancer than in the other two types, and there was no significant difference in the sphericity of the three lung metastases. For the dichotomous model, in the validation set, the area under the curve (AUC) of the 28 features selected to distinguish gastric cancer lung metastases from breast cancer lung metastases was 0.81, the AUC of the 25 features distinguishing gastric cancer lung metastases from kidney cancer lung metastases was 0.86, and the AUC of the 34 features distinguishing kidney cancer lung metastases from breast cancer lung metastases was 0.92, and the AUCs of the test set were 0.80, 0.79 and 0.86 respectively. For the trichotomous model, the AUC for predicting lung metastases from gastric cancer, breast cancer and kidney cancer in the validation set were 0.85, 0.82 and 0.91 respectively, and both macroscopic and microscopic AUC were 0.85; In the test set, the AUC for predicting lung metastases from gastric cancer, breast cancer, and kidney cancer were 0.77, 0.86 and 0.84 respectively, and both macroscopic and microscopic AUC were 0.81. Conclusion The SVM and RF models based on CT radiomic features are helpful in distinguishing lung metastases derived from gastric cancer, breast cancer and kidney cancer.

Key words: Diagnosis, differential, Lung metastases, Radiomic features

Baidu
map