国际肿瘤学杂志 ›› 2022, Vol. 49 ›› Issue (8): 459-463.doi: 10.3760/cma.j.cn371439-20220408-00089
Chen Huangjing, Zhu Pengfei, Zhang Qing, Chen Guifang, Yang Chunlin, He Ying(
)
摘要:
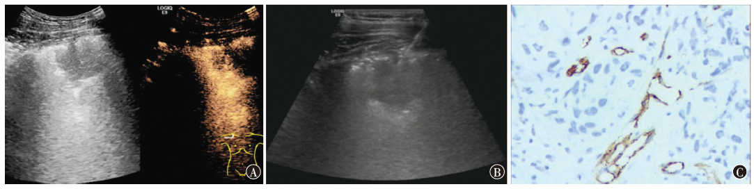
目的 比较超声造影(CEUS)和CT引导下经皮穿刺活检在周围型肺肿块诊断中的临床价值。方法 回顾分析2019年10月至2021年12月在南通大学附属肿瘤医院接受穿刺活检的90例周围型肺肿块患者的临床资料。按照穿刺引导方式的不同,分为CEUS引导的经皮穿刺活检组(CEUS组,40例)和CT引导的经皮穿刺活检组(CT组,50例),并评价两组在穿刺成功率、并发症发生率等方面的差异。同时,检测微血管密度(MVD)与CEUS参数之间的相关性。结果 CEUS组穿刺成功率高于CT组,但两组间差异不具有统计学意义[97.5%(39/40) vs. 92.0%(46/50),P=0.337];CEUS组并发症发生率明显低于CT组[0(0/40) vs. 12.0%(6/50),P=0.032]。而且与CT组相比,CEUS组穿刺次数少[(2.0±1.6)次 vs. (2.8±1.2)次,t=-2.43,P=0.018],穿刺时长短[(7.6±2.5) min vs. (15.3±2.6) min,t=-8.86,P<0.001],手术费用低[(1 308.4±545.6)元 vs. (2 046.4±645.3) 元,t=-2.01,P=0.046]。肺腺癌的MVD、CEUS峰值强度和增强指数均高于鳞状细胞癌[(25.4±4.9)个/HP vs. (16.6±7.3)个/HP,t=3.43,P=0.002;(46.9±6.5) db vs. (36.8±5.4)db,t=4.12,P<0.001;5.2±1.4 vs. 4.1±1.2,t=3.27,P=0.006]。肺鳞状细胞癌和肺腺癌的CEUS峰值强度、增强指数均与各自病灶内MVD呈正相关(鳞状细胞癌:r=0.66,P<0.001;r=0.56,P<0.001;腺癌:r=0.62,P<0.001;r=0.70,P<0.001)。结论 与CT相比,CEUS引导的经皮穿刺活检在周围型肺肿块诊断中并没有获得更高的成功率,但降低了并发症发生率,同时具有用时少、费用低、无辐射、可实时动态引导等优点,值得在临床中加强推广。另外,肺腺癌、鳞状细胞癌CEUS定量参数与MVD之间存在相关性,可能作为诊断依据。