国际肿瘤学杂志 ›› 2021, Vol. 48 ›› Issue (6): 321-327.doi: 10.3760/cma.j.cn371439-20201026-00062

• 论著 •    下一篇

抑制NFAT5对肺腺癌细胞增殖、侵袭、迁移及凋亡能力的影响

蒋梦婷1(), 王家淳2, 宗静3   

  1. 1解放军联勤保障部队第九〇四医院呼吸内科,无锡 214000
    2解放军联勤保障部队第九〇四医院普外科,无锡 214000
    3解放军联勤保障部队第九〇四医院消化内科,无锡 214000
  • 收稿日期:2020-10-26 修回日期:2020-11-23 出版日期:2021-06-08 发布日期:2021-06-24
  • 通讯作者: 蒋梦婷 E-mail:jmt_1234@163.com

Effects of NFAT5 inhibition on proliferation, invasion, migration and apoptosis of lung adenocarcinoma cells

Jiang Mengting1(), Wang Jiachun2, Zong Jing3   

  1. 1Department of Respiratory Medicine, 904th Hospital of Joint Logistic Support Force of People's Liberation Army, Wuxi 214000, China
    2Department of General Surgery, 904th Hospital of Joint Logistic Support Force of People's Liberation Army, Wuxi 214000, China
    3Department of Gastroenterology, 904th Hospital of Joint Logistic Support Force of People's Liberation Army, Wuxi 214000, China
  • Received:2020-10-26 Revised:2020-11-23 Online:2021-06-08 Published:2021-06-24
  • Contact: Jiang Mengting E-mail:jmt_1234@163.com

摘要:

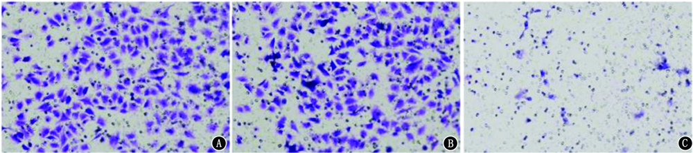
目的 探讨活化T细胞核因子5(NFAT5)在肺腺癌组织及细胞中的表达以及抑制NFAT5对肺腺癌细胞增殖、侵袭、迁移及凋亡能力的影响。方法 收集2017年6月至2019年6月在解放军联勤保障部队第九〇四医院接受诊断和治疗的61例肺腺癌患者的临床病理标本和癌旁组织,采用实时荧光定量PCR(qRT-PCR)检测肺腺癌组织、癌旁组织中NFAT5的表达水平,并分析NFAT5的表达水平与患者临床病理特征的关系。将H1975细胞分为对照组(不作任何处理)、NC组(转染siRNA-NC)和si-NFAT5组(转染siRNA-NFAT5),采用qRT-PCR检测细胞株中NFAT5的表达水平,采用MTT和克隆形成实验检测细胞增殖情况,Transwell和划痕实验检测细胞侵袭和迁移能力,流式细胞仪检测细胞凋亡情况,蛋白质印迹法检测细胞丝裂原活化蛋白激酶(MAPK)信号通路相关蛋白的表达。结果 NFAT5 mRNA在肺腺癌组织中的表达量(3.22±0.20)显著高于癌旁组织(1.00±0.12),差异具有统计学意义(t=75.662,P<0.001);肺腺癌组织中NFAT5的表达水平与肿瘤TNM分期(χ2=10.357,P=0.001)和淋巴结转移(χ2=18.268,P<0.001)有关。NFAT5在对照组、NC组、si-NFAT5组中的相对表达量分别为1.00±0.06、1.01±0.05、0.31±0.06,差异具有统计学意义(F=140.498,P<0.001)。对照组、NC组和si-NFAT5组3组H1975细胞转染24 h后吸光度(A)值分别为0.70±0.01、0.55±0.01、0.35±0.01,48 h后分别为0.92±0.03、0.87±0.06、0.57±0.06,72 h后分别为1.05±0.01、0.90±0.01、0.66±0.01,差异均具有统计学意义(F=9.815,P=0.013;F=45.977,P<0.001;F=129.494,P<0.001),进一步两两比较,24、48、72 h si-NFAT5组增殖能力均明显低于对照组和NC组(均P<0.001)。3组细胞克隆数分别为452.33±31.50、421.00±17.35、129.00±17.35,差异具有统计学意义(F=128.200,P<0.001);si-NFAT5组细胞克隆数较对照组和NC组均显著下降(均P<0.001)。3组细胞侵袭数目分别为262.67±28.02、278.00±27.50、46.00±12.00,差异具有统计学意义(F=89.896,P<0.001);si-NFAT5组细胞侵袭能力较对照组和NC组均显著降低(均P<0.001)。3组细胞相对划痕宽度分别为0.28±0.04、0.32±0.04、0.54±0.04,差异具有统计学意义(F=42.889,P<0.001);si-NFAT5组细胞相对划痕宽度较对照组和NC组均显著增加(均P<0.001)。3组细胞凋亡率分别为(3.38±0.56)%、(3.14±0.62)%、(13.82±0.75)%,差异具有统计学意义(F=264.705,P<0.001);si-NFAT5组细胞凋亡率均显著高于对照组和NC组(均P<0.001)。3组H1975细胞NFAT5、p-P38/P38、p-ERK1/2/ERK1/2、p-JNK/JNK蛋白表达差异均具有统计学意义(F=91.245,P<0.001;F=132.896,P<0.001;F=243.332,P<0.001;F=118.358,P<0.001);si-NFAT5组NFAT5、p-P38/P38、p-ERK1/2/ERK1/2、p-JNK/JNK蛋白表达较对照组和NC组均显著降低(均P<0.001)。结论 NFAT5在肺腺癌组织及细胞中的表达均升高。抑制NFAT5能够抑制肺腺癌H1975细胞增殖、侵袭和迁移,并促进H1975细胞凋亡,其机制可能与NFAT5抑制MAPK信号通路有关。

关键词: 肺肿瘤, 细胞增殖, 细胞凋亡, 肿瘤浸润, 活化T细胞核因子5

Abstract:

Objective To investigate the expressions of nuclear factor of activated T cell 5 (NFAT5) in lung adenocarcinoma tissues and cells, and the effects of NFAT5 on the proliferation, invasion, migration and apoptosis of lung adenocarcinoma cells. Methods The clinical pathological specimens and paracancerous tissues of 61 patients with lung adenocarcinoma diagnosed and treated in 904th Hospital of Joint Logistic Support Force of People's Liberation Army from June 2017 to June 2019 were collected. The expression levels of NFAT5 in lung adenocarcinoma tissues and paracancerous tissues were detected by quantitative real-time PCR (qRT-PCR), and the relationships between the expression of NFAT5 and clinicopathological features of patients were analyzed. H1975 cells were divided into control group (no treatment), NC group (transfecting siRNA-NC) and si-NFAT5 group (transfecting siRNA-NFAT5) . qRT-PCR was used to detect the expression level of NFAT5 in cell line. MTT and clone formation assay were used to detect cell proliferation. Transwell and scratch test were used to detect cell invasion and migration ability. Flow cytometry was used to detect cell apoptosis. The expressions of mitogen-activated protein kinase (MAPK) signaling pathway related proteins were detected by Western blotting. Results The expression level of NFAT5 mRNA in lung adenocarcinoma (3.22±0.20) was significantly higher than that in paracancerous tissues (1.00±0.12), and there was a statistically significant difference (t=75.662, P<0.001). The expression level of NFAT5 in lung adenocarcinoma tissue was associated with TNM stage (χ2=10.357, P=0.001) and lymph node metastasis (χ2=18.268, P<0.001). The expression levels of NFAT5 in the control group, NC group and si-NFAT5 group were 1.00±0.06, 1.01±0.05 and 0.31±0.06, and there was a statistically significant difference (F=140.498, P<0.001). The absorbance (A) values in the control group, NC group and si-NFAT5 group were 0.70±0.01, 0.55±0.01 and 0.35±0.01 at 24 h after transfection, 0.92±0.03, 0.87±0.06 and 0.57±0.06 at 48 h after transfection, 1.05±0.01, 0.90±0.01 and 0.66±0.01 at 72 h after transfection, and there were statistically significant differences (F=9.815, P=0.013; F=45.977, P<0.001; F=129.494, P<0.001). Further pairwise comparison showed that the proliferation abilities of the si-NFAT5 group at 24, 48 and 72 h were significantly lower than those of the control group and NC group (all P<0.001). The cell clone numbers in the three groups were 452.33±31.50, 421.00±17.35 and 129.00±17.35 respectively, with a statistically significant difference (F=128.200, P<0.001). The cell clone number in the si-NFAT5 group was significantly lower than that in the control group and NC group (both P<0.001). The invasion numbers of cells in the three groups were 262.67±28.02, 278.00±27.50 and 46.00±12.00 respectively, and there was a statistically significant difference (F=89.896, P<0.001). The cell invasive ability in the si-NFAT5 group was significantly lower than that in the control group and NC group (both P<0.001). The relative scratch widths in the three groups were 0.28±0.04, 0.32±0.04 and 0.54±0.04 respectively, and there was a statistically significant difference (F=42.889, P<0.001). The relative scratch width in the si-NFAT5 group was significantly increased than that in the control group and NC group (both P<0.001). The apoptosis rates in the three groups were (3.38±0.56)%, (3.14±0.62)% and (13.82±0.75)% respectively, and there was a statistically significant difference (F=264.705, P<0.001). The apoptosis rate in the si-NFAT5 group was significantly higher than that in the control group and NC group (both P<0.001). The differences of protein expressions of NFAT5, p-P38/P38, p-ERK1/2/ERK1/2, p-JNK/JNK among the three groups were statistically significant (F=91.245, P<0.001; F=132.896, P<0.001; F=243.332, P<0.001; F=118.358, P<0.001). The protein expressions of NFAT5, p-P38/P38, p-ERK1/2/ERK1/2, p-JNK/JNK in the si-NFAT5 group were all significantly lower than those in the control group and NC group, and there were statistically significant differences (all P<0.001). Conclusion The expression of NFAT5 is increased in lung adenocarcinoma tissues and cells. Inhibition of NFAT5 can inhibit proliferation, invasion and migration of lung adenocarcinoma H1975 cells, and promote apoptosis of H1975 cells. The mechanism may be related to the inhibition of MAPK signal pathway by NFAT5.

Key words: Lung neoplasms, Cell proliferation, Apoptosis, Neoplasm invasiveness, Nuclear factor of activated T cell 5

Baidu
map