国际肿瘤学杂志 ›› 2023, Vol. 50 ›› Issue (4): 202-207.doi: 10.3760/cma.j.cn371439-20220429-00040

• 论著 • 上一篇    下一篇

沉默lncRNA FTX通过miR-22-3p/NLRP3炎症体通路抑制胃癌细胞增殖

全祯豪, 徐飞鹏, 黄哲, 黄先进, 陈日红, 孙开裕, 胡旭, 林琳()   

  1. 广东医科大学附属医院胃肠外科,湛江 524002
  • 收稿日期:2022-04-29 修回日期:2022-07-23 出版日期:2023-04-08 发布日期:2023-06-12
  • 通讯作者: 林琳,Email: 13763042806@163.com
  • 基金资助:
    湛江市科技发展专项资金竞争性分配项目(2022A01155)

lncRNA FTX silencing inhibits gastric cancer cell proliferation through the miR-22-3p/NLRP3 inflammasome pathway

Quan Zhenhao, Xu Feipeng, Huang Zhe, Huang Xianjin, Chen Rihong, Sun Kaiyu, Hu Xu, Lin Lin()   

  1. Department of Gastrointestinal Surgery, Affiliated Hospital of Guangdong Medical University, Zhanjiang 524002, China
  • Received:2022-04-29 Revised:2022-07-23 Online:2023-04-08 Published:2023-06-12
  • Contact: Lin Lin, Email: 13763042806@163.com
  • Supported by:
    Science and Technology Development Special Fund Competitive Allocation Project of Zhanjiang(2022A01155)

摘要:

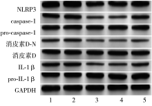
目的 探究长非编码RNA(lncRNA)FTX通过miR-22-3p/NOD样受体蛋白3(NLRP3)炎症体通路对胃癌细胞增殖的调控作用。方法 将胃癌细胞NCI-N87分为空白对照组、si-FTX-NC组、si-FTX组、si-FTX+miR-22-3p inhibitor-NC组、si-FTX+miR-22-3p inhibitor组。采用实时定量荧光PCR分析lncRNA FTX、miR-22-3p表达量,克隆形成实验分析NCI-N87细胞增殖能力,蛋白质印迹法分析NLRP3炎症体通路蛋白表达情况,双荧光素酶报告实验分析lncRNA FTX和miR-22-3p的靶向关系。结果 空白对照组、si-FTX-NC组、si-FTX组、si-FTX+miR-22-3p inhibitor-NC组、si-FTX+miR-22-3p inhibitor组lncRNA FTX相对表达量分别为1.03±0.09、1.01±0.15、0.42±0.08、0.45±0.06、0.46±0.13,差异有统计学意义(F=52.19,P<0.001);miR-22-3p相对表达量分别为1.04±0.12、0.97±0.08、2.26±0.15、2.23±0.13、1.15±0.11,差异有统计学意义(F=178.53,P<0.001);与空白对照组和si-FTX-NC组相比,si-FTX组、si-FTX+miR-22-3p inhibitor-NC组、si-FTX+miR-22-3p inhibitor组lncRNA FTX相对表达量均降低(均P<0.001);与空白对照组、si-FTX-NC组和si-FTX+miR-22-3p inhibitor组相比,si-FTX组、si-FTX+miR-22-3p inhibitor-NC组miR-22-3p相对表达量均升高(均P<0.001)。上述5组细胞克隆数量分别为115.50±7.25、112.33±8.46、54.83±5.17、56.17±6.32、85.67±9.43,差异有统计学意义(F=91.67,P<0.001);NLRP3蛋白水平分别为1.84±0.17、1.86±0.12、0.95±0.09、0.97±0.11、1.28±0.19,差异有统计学意义(F=60.62,P<0.001);与空白对照组和si-FTX-NC组相比,si-FTX组、si-FTX+miR-22-3p inhibitor-NC组、si-FTX+miR-22-3p inhibitor组克隆数量、NLRP3蛋白水平均降低(均P<0.05);与si-FTX+miR-22-3p inhibitor组相比,si-FTX组、si-FTX+miR-22-3p inhibitor-NC组克隆数量、NLRP3蛋白水平均降低(均P<0.05)。双荧光素酶报告实验发现,miR-22-3p为lncRNA FTX的靶基因。结论 沉默lncRNA FTX可抑制胃癌细胞增殖,其机制可能与lncRNA FTX对miR-22-3p/NLRP3炎症体通路的调节有关。

关键词: 胃肿瘤, RNA, 长链非编码, 微RNAs, 细胞增殖

Abstract:

Objective To investigate the regulatory effect of long non-coding RNA (lncRNA) FTX on gastric cancer cell proliferation through miR-22-3p/NOD-like receptor protein 3 (NLRP3) inflammasome pathway. Methods The gastric cancer cell line NCI-N87 were divided into blank control group, si-FTX-NC group, si-FTX group, si-FTX+miR-22-3p inhibitor-NC group and si-FTX+miR-22-3p inhibitor group. Quantitative real-time fluorescent PCR was performed to analyze the expression levels of lncRNA FTX and miR-22-3p, clone formation assay was performed to analyze the proliferation ability of NCI-N87 cells, western blotting was performed to analyze the expressions of NLRP3 inflammasome pathway proteins, and dual-luciferase reporter assay was performed to analyze the targeting relationship between lncRNA FTX and miR-22-3p. Results The relative expressions of lncRNA FTX in the blank control group, si-FTX-NC group, si-FTX group, si-FTX+miR-22-3p inhibitor-NC group and si-FTX+miR-22-3p inhibitor group were 1.03±0.09, 1.01±0.15, 0.42±0.08, 0.45±0.06 and 0.46±0.13 respectively, with a statistically significant difference (F=52.19, P<0.001). The relative expressions of miR-22-3p were 1.04±0.12, 0.97±0.08, 2.26±0.15, 2.23±0.13 and 1.15±0.11 respectively, with a statistically significant difference (F=178.53, P<0.001). Compared with the blank control group and si-FTX-NC group, the relative expressions of lncRNA FTX in the si-FTX group, si-FTX+miR-22-3p inhibitor-NC group and si-FTX+miR-22-3p inhibitor group decreased (all P<0.001). Compared with the blank control group, si-FTX-NC group and si-FTX+miR-22-3p inhibitor group, the relative expressions of miR-22-3p in the si-FTX group and si-FTX+miR-22-3p inhibitor-NC group increased (all P<0.001). The clones of the five groups were 115.50±7.25, 112.33±8.46, 54.83±5.17, 56.17±6.32 and 85.67±9.43, with a statistically significant difference (F=91.67, P<0.001). The levels of NLRP3 protein in the five groups were 1.84±0.17, 1.86±0.12, 0.95±0.09, 0.97±0.11 and 1.28±0.19, with a statistically significant difference (F=60.62, P<0.001). Compared with the blank control group and si-FTX-NC group, the number of clones and the level of NLRP3 protein of the si-FTX group, si-FTX+miR-22-3p inhibitor-NC group and si-FTX+miR-22-3p inhibitor group decreased (all P<0.05). Compared with the si-FTX+miR-22-3p inhibitor group, the number of clones and the level of NLRP3 protein in the si-FTX group and si-FTX+miR-22-3p inhibitor-NC group decreased (all P<0.05). The dual-luciferase reporter assay found that miR-22-3p was the target gene of lncRNA FTX. Conclusion Silencing the expression of lncRNA FTX can inhibit the proliferation of gastric cancer cells, and the mechanism may be related to the regulation of lncRNA FTX on the miR-22-3p/NLRP3 inflammasome pathway.

Key words: Stomach neoplasms, RNA, long noncoding, MicroRNAs, Cell proliferation

Baidu
map