国际肿瘤学杂志 ›› 2024, Vol. 51 ›› Issue (12): 798-800.doi: 10.3760/cma.j.cn371439-20240820-00136

• 病例报道 • 上一篇    

维布妥昔单抗联合吉西他滨治疗难治性Ⅳ期蕈样肉芽肿1例

叶少杰, 柳嘉, 郭慧梅, 赵松颖, 薛华, 王静()   

  1. 河北大学附属医院血液内科,保定 071000
  • 收稿日期:2024-08-20 修回日期:2024-11-12 出版日期:2024-12-08 发布日期:2025-01-07
  • 通讯作者: 王静 E-mail:deepgreen1@163.com

  • Received:2024-08-20 Revised:2024-11-12 Online:2024-12-08 Published:2025-01-07

摘要:

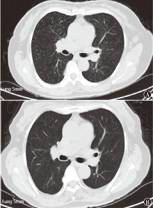
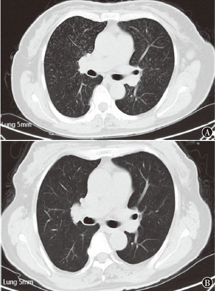
蕈样肉芽肿为皮肤T细胞淋巴瘤,常累及皮肤,累及重要脏器的晚期患者预后差。维布妥昔单抗已被批准为晚期蕈样肉芽肿的一线治疗,对于维布妥昔单抗治疗后无改善的难治性蕈样肉芽肿患者,后续治疗选择有限,化疗效果有限。现报道1例应用维布妥昔单抗单药、受累野放疗及维布妥昔单抗联合吡柔比星等方案治疗效果欠佳,应用维布妥昔单抗联合吉西他滨方案后皮肤及受累脏器较前好转的Ⅳ期蕈样肉芽肿病例,以期为该类患者的治疗提供帮助。

关键词: 淋巴瘤,T细胞,皮肤, 维布妥昔单抗, 蕈样肉芽肿, 吉西他滨

Baidu
map