| [1] |
Mastrangelo G, Coindre JM, Ducimetière F, et al. Incidence of soft tissue sarcoma and beyond: a population-based prospective study in 3 European regions[J]. Cancer, 2012, 118(21): 5339-5348. DOI: 10.1002/cncr.27555.
pmid: 22517534
|
| [2] |
Stacchiotti S, Van Tine BA. Synovial sarcoma: current concepts and future perspectives[J]. J Clin Oncol, 2018, 36(2): 180-187. DOI: 10.1200/JCO.2017.75.1941.
pmid: 29220290
|
| [3] |
Choong P, Pritchard D, Sim F, et al. Long-term survival in high-grade soft-tissue sarcoma-prognostic factors in synovial sarcoma[J]. Int J Oncol, 1995, 7(1): 161-169. DOI: 10.3892/ijo.7.1.161.
pmid: 21552822
|
| [4] |
Jacobs AJ, Morris CD, Levin AS. Synovial sarcoma is not associated with a higher risk of lymph node metastasis compared with other soft tissue sarcomas[J]. Clin Orthop Relat Res, 2018, 476(3): 589-598. DOI: 10.1007/s11999.0000000000000057.
|
| [5] |
Nacev BA, Jones KB, Intlekofer AM, et al. The epigenomics of sarcoma[J]. Nat Rev Cancer, 2020, 20(10): 608-623. DOI: 10.1038/s41568-020-0288-4.
pmid: 32782366
|
| [6] |
Salcedo-Hernández RA, Lino-Silva LS, Luna-Ortiz K. Synovial sarcomas of the head and neck: comparative analysis with synovial sarcoma of the extremities[J]. Auris Nasus Larynx, 2013, 40(5): 476-480. DOI: 10.1016/j.anl.2012.11.015.
pmid: 23260343
|
| [7] |
Aytekin MN, Öztürk R, Amer K, et al. Epidemiology, incidence, and survival of synovial sarcoma subtypes: SEER database analysis[J]. J Orthop Surg (Hong Kong), 2020, 28(2): 2309499020936009. DOI: 10.1177/2309499020936009.
|
| [8] |
Seo SW, Kim J, Son J, et al. Evaluation of conditional treatment effects of adjuvant treatments on patients with synovial sarcoma using Bayesian subgroup analysis[J]. BMC Med Inform Decis Mak, 2020, 20(1): 320. DOI: 10.1186/s12911-020-01305-9.
|
| [9] |
Andrä C, Rauch J, Li M, et al. Excellent local control and survival after postoperative or definitive radiation therapy for sarcomas of the head and neck[J]. Radiat Oncol, 2015, 10: 140. DOI: 10.1186/s13014-015-0449-x.
pmid: 26156022
|
| [10] |
Shein G, Sandhu G, Potter A, et al. Laryngeal synovial sarcoma: a systematic review of the last 40 years of reported cases[J]. Ear Nose Throat J, 2021, 100(2): NP93-NP104. DOI: 10.1177/0145561319850697.
|
| [11] |
Stanbouly D, Litman E, Lee KC, et al. Synovial sarcoma of the head & neck: a review of reported cases in the literature[J]. J Stomatol Oral Maxillofac Surg, 2020, 122(5): 505-510. DOI: 10.1016/j.jormas.2020.12.001.
|
| [12] |
Khan Y, Carey-Smith R, Taylor M, et al. Treatment and outcomes for synovial sarcoma patients in Western Australia: the role of neoadjuvant chemoradiotherapy[J]. Cancer Rep (Hoboken), 2020, 3(6): e1268. DOI: 10.1002/cnr2.1268.
|
| [13] |
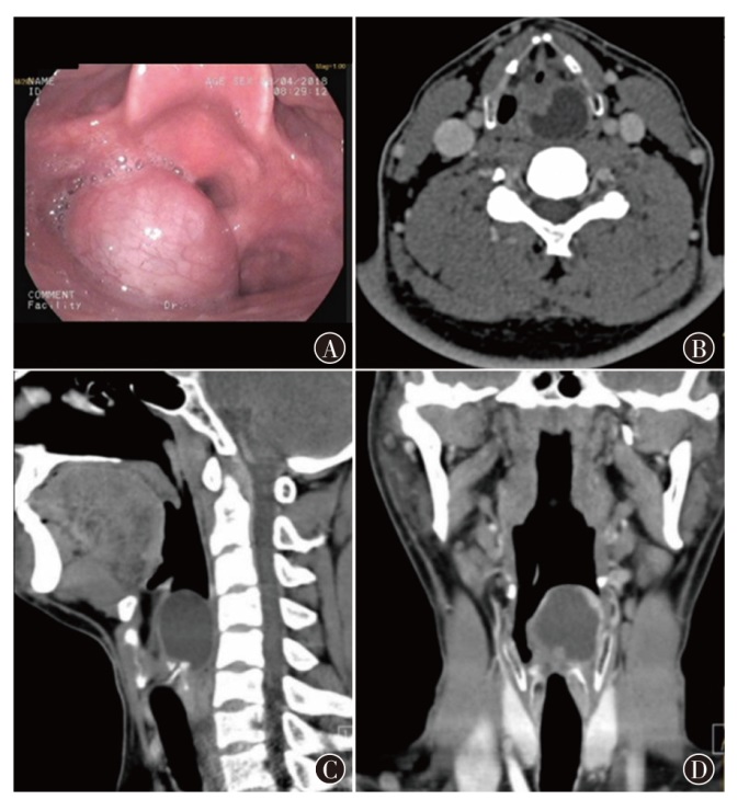
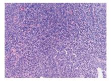
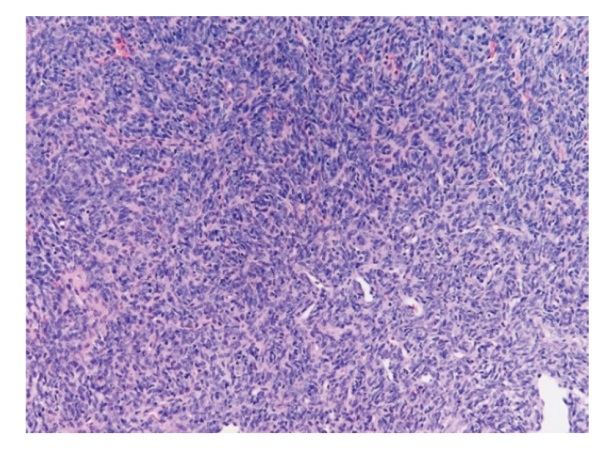
曹纯, 曾琴, 张天围. 头颈部滑膜肉瘤1例[J]. 国际肿瘤学杂志, 2023, 50(1): 60-61. DOI: 10.3760/cma.j.cn371439-20221123-00012.
|
| [14] |
Guinchard AC, Monnier P, Jaquet Y, et al. Modified technique of functional vertical hemilaryngectomy for cancer invading 1 hemicricoid[J]. Head Neck, 2016, 38(11): 1722-1727. DOI: 10.1002/hed.24476.
|
| [15] |
Ng CT, Wong EHC, Prepageran N. Monophasic synovial sarcoma of the pyriform fossa[J]. BMJ Case Rep, 2020, 13(11): e236204. DOI: 10.1136/bcr-2020-236204.
|
| [16] |
O'Sullivan B, Davis AM, Turcotte R, et al. Preoperative versus postoperative radiotherapy in soft-tissue sarcoma of the limbs: a randomised trial[J]. Lancet, 2002, 359(9325): 2235-2241. DOI: 10.1016/S0140-6736(02)09292-9.
pmid: 12103287
|