国际肿瘤学杂志 ›› 2023, Vol. 50 ›› Issue (12): 766-768.doi: 10.3760/cma.j.cn371439-20230220-00144

• 病例报道 • 上一篇    

复发宫颈癌免疫治疗1例

段传菊, 陈真云(), 李晓红, 牛洪朋, 李秀敏()   

  1. 山东省临沂市肿瘤医院妇科一病区,临沂 276000
  • 收稿日期:2023-02-20 修回日期:2023-09-21 出版日期:2023-12-08 发布日期:2024-01-16
  • 通讯作者: 李秀敏,Email: lyzlyylxm@163.com;陈真云,Email: chenzhenyunh123@163.com

  • Received:2023-02-20 Revised:2023-09-21 Online:2023-12-08 Published:2024-01-16

摘要:

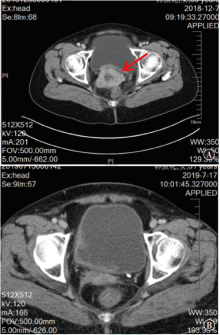
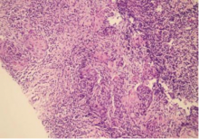
晚期及复发性宫颈癌治疗方式有限,预后差,免疫治疗为近期备受关注的一种宫颈癌治疗手段。现报道1例综合阳性评分为100分的宫颈癌复发患者免疫治疗疗效,该患者单靶点免疫药物治疗10个月余出现疾病进展,考虑免疫耐药,通过分析该患者的临床资料,并复习相关文献,以提高对宫颈癌免疫治疗及耐药机制的认识。

关键词: 宫颈肿瘤, 复发, 免疫检查点抑制剂

Baidu
map